Technology

Our Equipment

Our surgery is equipped with the latest technological equipment to make your visit more comfortable and efficient.

Our innovative technology includes:

  • Next Day Crowns using CAD-CAM *

  • Digital X-rays *

  • Intra-Oral Cameras 

  • 3D Laser Scanners

  • 3D Ceramic Milling

*All procedures carry risks. Some procedures may not be suitable for all people. Your dentist will discuss the risks prior to commencing treatment.

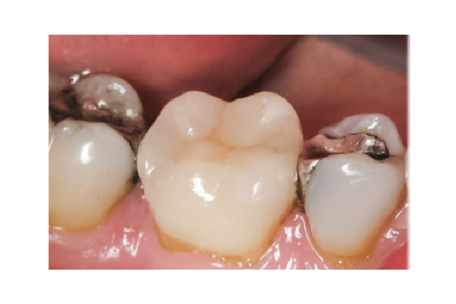
Ceramic Crowns

Before

Before

After

After

A dental crown is often the best option to strengthen a tooth.  Revolutionary digital technology means you can have your crowns - start to finish - on the next day.

  • No messy impressions

  • A temporary crown overnight

  • Manufactured on-site in our Dalby lab using a 3D Ceramic Mill and Furnace

Digital X-rays

Page_Technology-X-ray.png

"There’s a lot going on in your mouth that is not visible to the naked eye, and dental X-rays allow your dentist to see what’s happening below the surface. By taking X-rays, your dentist is provided with a comprehensive assessment of the health of your mouth" (ADA, 2018)

Digital X-rays significantly reduce the amount of radiation exposure compared with conventional radiography.

Intra-Oral Cameras

Page_Technology-Camera.png

Intra-oral cameras allow you to see what the dentist sees giving you a clear picture of whats happening inside of your mouth. We talk you through your photos using our in room monitors.

 

3D Digital Scanner

Page_Technology-Scanner.png

Instead of taking gooey impressions, we can now scan your teeth digitally. This technology can be used for Crowns, Bridges, Dentures or Invisalign®.